ARA Antibodies for Research Applications

Monoclonal antibodies directed against rat tumor antigens of epithelial origin



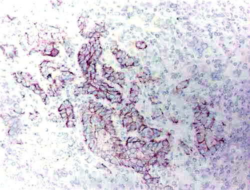
           image
           "Binding of MG4 (IgG1) monoclonal antibodies to rat colorectal
           metastases in freshly frozen rat liver tissue"


Hybridoma Clone      Antibody Isotype        Cat. No. 
MG4                            Mouse IgG1              ARA07
MG4-2aMouse IgG2aARA08
MG4-2bMouse IgG2bARA09

Generation
MG4 has been raised by immunization of mice with rat colon adenocarcinoma cells (CC531). Hybridomas were selected for producing antibodies reacting with the CC531 cell line and with minimal cross reactivity to normal tissues (Hagenaars et al., 2001). MG4 belongs to a second generation of such antibodies that were strictly selected for minimal cross reactivity with other tissues. In addition to the original IgG1 isotype, IgG2a and IgG2b isotype switch variants were derived from MG4.

Reactivity
MG4 is a rat strain-independent marker for tumor cells of epithelial origin, like in colon, breast, or lung cancer, etc. When injected in colon tumor-bearing rats, MG4 localized to tumor cells (Hagenaars et al., 2001). MG4 can be used for immunohistochemical staining of tumor cells in frozen tissue sections as well as formalin-fixed/paraffin-embedded tissue. MG4 is suitable to be used in flow cytometry, Western blotting, immunoprecipitation, and ELISA.

Technical information
These monoclonal antibodies bind to two proteins, 120 kD and 130 kD, expressed by rat tumor cells of epithelial origin. MG4 and the isotype switch variants are especially useful for the detection of tumor cells by flow cytometry as the result is a relatively high signal and for multicolor stainings. MG4 can also be used in immunohistochemistry in both formalin- fixed/paraffin-embedded tissues and freshly frozen tissues, but the staining is less intense as compared with CC52, MG1 or MG2. Citric acid pretreatment is recommended for formalin- fixed/paraffin-embedded tissue sections. MG4 can be used in western blotting.

References
1. Hagenaars M, Ensink NG, Basse P, Hokland M, Nannmark U, Eggermont AM, Van De Velde CJ, Fleuren GJ, Kuppen PJ (2000) The microscopic anatomy of experimental rat CC531 colon tumour metastases: consequences for immunotherapy? Clin Exp Metastasis 18: 189-196.
2. Hagenaars M, Ensink NG, Van Eendenburg JD, Van Vlierberghe RL, Eggermont AM, Van De Velde CJ, Fleuren GJ, Kuppen PJ (2001) The development of novel mouse monoclonal antibodies against the CC531 rat colon adenocarcinoma. Clin Exp Metastasis, 18: 281-289.


Ordering Information